-
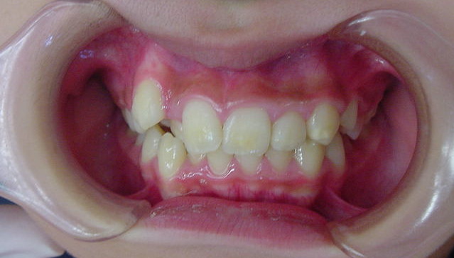
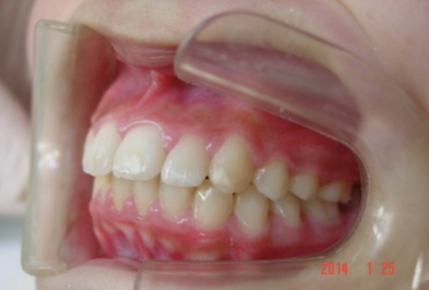
Before

-
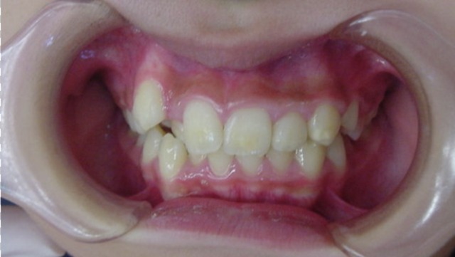
After

症例情報
| 症状 | 上顎前歯の右側転位のために、右側2番の舌側転位と右側3番(犬歯)の萌出スペースなし。 |
|---|---|
| 通院時の 年齢 |
10歳2か月 |
| 通院回数 | 90回 |
| 通院目的 | 永久歯を抜かずに治したい。右上の八重歯が気になる。 |
| 処置内容 | 1期治療 プレート拡大装置 2期治療 マルチブラケット装置(右上7番抜歯してそこに右上8番親知らずを誘導した。) |
| 費用 | 基本料金687,500円(税込)。※過去の治療の料金ですので、現在とは異なります。 |
| デメリット・院長コメント | 永久歯を抜かない治療のデメリットは、治療期間が長いことです。ただし、その後の人生の長さを考えると、健全な小臼歯を2本または4本抜歯の矯正治療よりも、はるかにメリットがあるといえます。また、アーチが小さくならないので、舌が後ろに押し込まれないためいびき防止につながり睡眠の質の向上にもつながります。 |
その他の症例のBefore&After画像
Before

After

Before

After

Before

After

Before

After

Before

After

Before

After

Before

After









