
- HOME>
- 小児非抜歯矯正をご希望の保護者様へ
開業時より、健全な歯を抜いてはだめだという院長の信念と経験より開発、バージョンアップしてきた当院の独自の小児矯正のシステムを御紹介します。
つかだ矯正歯科の小児非抜歯矯正の肝は成人の非抜歯矯正にあります。
ご説明します。当院では、小学生の中学年、高学年の発育時期には、顎の成長を引き出すことに集中し、装置でもって強制的に歯を並べることはしません。
本来、人間の体は、顎の成長がスムーズだと、歯は自然に並ぶようにできています。したがって、萌出してくる歯を誘導することはありますが、無理やり歯を動かして並べることはしません。ここで当院の症例写真でご説明します。
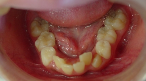
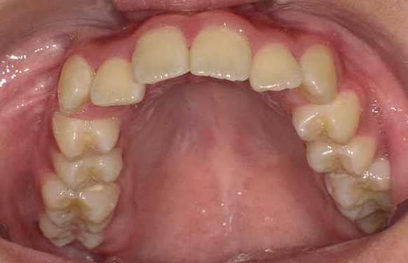
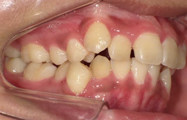
症例1-①
症例1-①の写真をご覧ください。著しく顎が小さく左の上下犬歯の萌出スペースがほとんどありません。ここで、歯ならびの相談に行くとおそらく将来、永久歯を抜くことになると言われることでしょう
口腔内を見ただけで、検査をすることなく、ショックな宣言を受けますが、そこには、医学的根拠による何の説明はありません。ここで、多くの場合、この二つのパターンのことを言われるでしょう。永久歯が生えそろってからきてください、またはとりあえず、顎を広げる治療してみましょう。
小児矯正は専門的な知識や経験がものをいいます。確かな診断をもとに治療を行います。「とりあえず・・・」なんていい加減な考えで治療を開始するのはリスクが大きすぎます。
また、よく言われている顎を広げるという概念も間違いです。これは、成人矯正の考え方です。「とりあえず広げる治療を受けたのに、咬めなくなってしまった。」ということも聞きます。
当院ではまず、早い段階から上下の顎の成長をできるかぎり、引き出していきます。このような小さい顎の場合、将来、永久歯を抜歯して歯を並べると、顎のサイズが小さいまま、治療を終えることになり舌が、小さい顎の中に押しこまれてしまい、いびきや、睡眠時無呼吸症候群の人生をおくることになりかねません。まずは、何が何でも顎の成長が大切です。
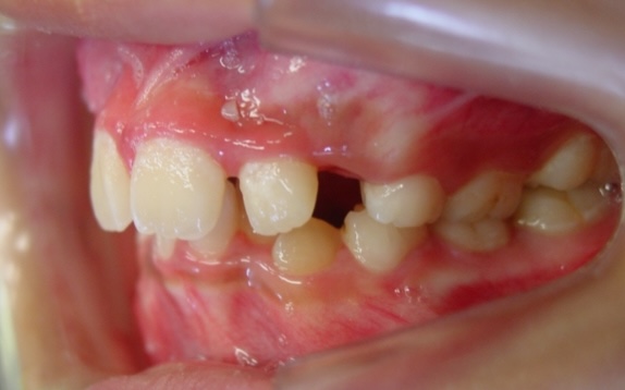
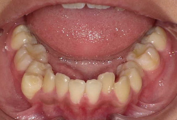
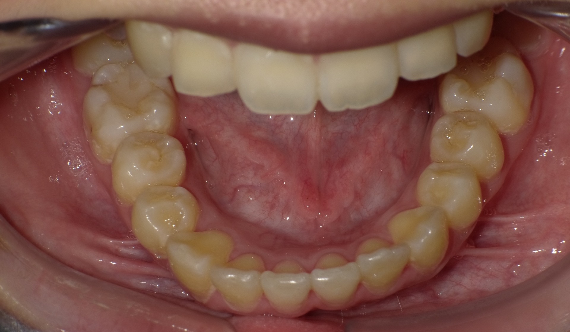
症例1-②
そして、永久歯がすべて生えそろって症例1-②の写真のようになります。上は、軽度の八重歯です。この程度の八重歯は永久歯を抜くことなく治療可能ですが、問題は右下の4番がスペースがまったく無いということです。ここで、一般的な矯正では、右下4番の小臼歯の抜歯と、それに伴う、その他3本の小臼歯の、計4本の永久歯の抜歯を提案されるでしょう。
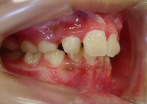
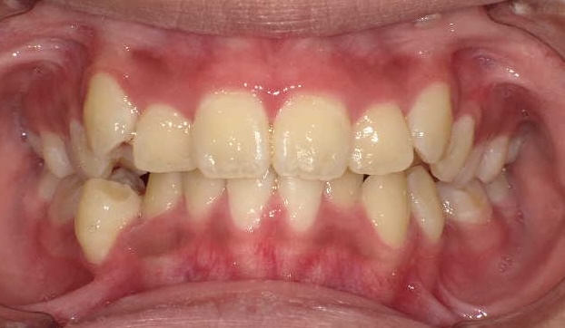
症例1-③
そこで当院では、ここからは、当院の成人非抜歯の技術を用いて、永久歯を抜くことなく(親知らずは除く)治療をゴールまでもって行きます。
症例1-③の写真が完成時の所見です。いかがでしょう、口もとも美しくきれいな永久歯列の完成です。
最近(2026年1月時点)、よく耳にするのが、「歯ならびが気になって、子供を早めに受診させたのだが、結局、永久歯を4本抜いて終了した。
装置を装着しはじめてから数年間通ったのは、なんだったんだ。
そして抜歯矯正治療にまた追加の費用がかかるなんて!」という内容です。
「顎を広げる装置を早期にを使っておくと、将来永久歯を抜く可能性が低くなるといわれて始めたが、最近の通院で、最終段階での永久歯の4本抜歯を提案された。」
「早期に子供の治療を始めたが、治っていない、噛めなくなった。」
「この装置を5年使ったが治らなかった。」
上記のような当院への相談がここ1~2年急増しています。これは、矯正治療経験のない一般歯科医が、経営のため保険外診療を始めることが増えたためと思われます。
矯正治療、まして小児矯正は1症例経験するのに、数年かかります。
それを安全に行うには、何千症例経験してから治療にあたるのが普通です。
しかし、残念ながら、セミナーを数回、あるいは数十回受けたところで治療にあたれるはずがありません。最近では、セミナーではなくdvd2枚程度の販売で、小児矯正の勉強をうたってるところもあります。
このような傾向は、お子様の咬み合わせを破壊していく可能性が非常に高く、健康を損ないかねません。
ぜひ、1度、成人矯正の非抜歯矯正のテクニックを有する当院でのお子様の非抜歯矯正のご相談を受けられることをお勧めします。
| 症状 | 上顎前突 |
|---|---|
| 通院時の 年齢 |
10才10ヶ月〜22才4ヶ月 |
| 通院回数 | 155回 |
| 通院目的 | 永久歯を抜かずに歯並びを治したい。 |
| 処置内容 | バイトブロック・プレート拡大処置・クリアアライナー・マルチブラケット装置・プレート拡大付き切歯斜面板・SHA・ディスタライザー・インビザライン・ |
| 費用 | 基本料金 税抜1,009,000円 (通院時2,160円〜4,400円の調整料を頂いていました。) ※過去の治療の料金ですので、現在とは異なります。現在は最高額1,240,000円(およそ治療期間4〜7年分)です。 |
| デメリット・院長コメント | 永久歯を抜かない治療のデメリットは、治療期間が長いことです。 ただし、その後の人生の長さを考えると、健全な小臼歯を2本または4本抜歯の矯正治療よりも、はるかにメリットがあるといえます。 また、アーチが小さくならないので、舌が後ろに押し込まれないためいびき防止につながり睡眠の質の向上にもつながります。 |






















