- HOME>
- 症例紹介

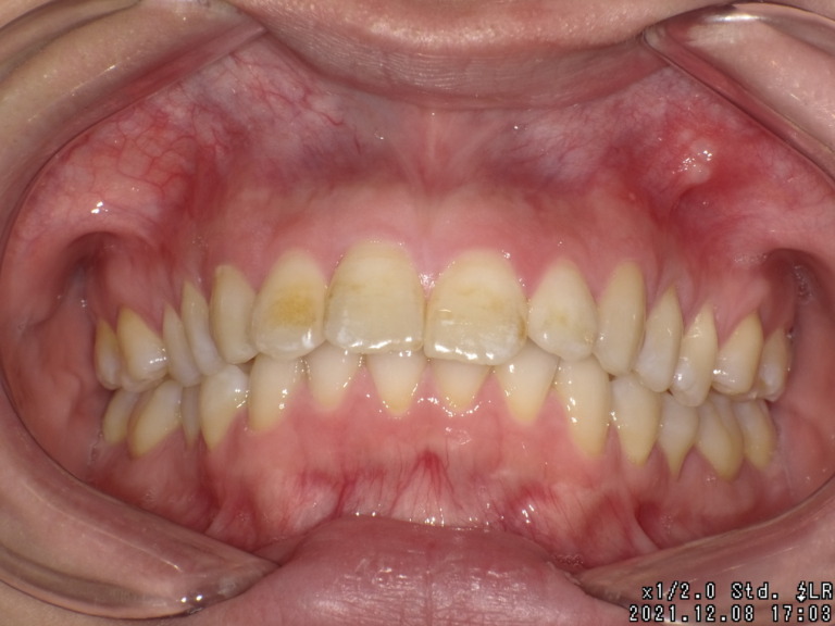
2026.03.04 噛み合わせが深い (ディープバイト)症例紹介
症状 右上八重歯 上顎正中の著しいずれ 通院時の年齢 18才6ヶ月〜21才7ヶ月 通院回数 42回 通院目的 永...

2026.01.27 欠損症例・埋伏歯症例・その他歯の位置異常症例紹介
症状 右上八重歯 上顎正中の著しいずれ 通院時の年齢 18才6ヶ月〜21才7ヶ月 通院回数 42回 通院目的 永...

2026.01.27 欠損症例・埋伏歯症例・その他歯の位置異常症例紹介
症状 右上八重歯 上顎正中の著しいずれ 通院時の年齢 18才6ヶ月〜21才7ヶ月 通院回数 42回 通院目的 永...















