【矯正症例】左上2番3番逆転症例2
クリニック紹介
クリニック紹介
ドクターズインタビュー
精度の高い治療のための
医療機器
院長紹介
当院の特徴
お悩み別
出っ歯
下の歯が出ている(受け口)
らんぐい歯
歯が閉じられない(開咬)
すきっ歯
噛み合わせが深い
(ディープバイト)
矯正治療
非抜歯矯正について
小児矯正について
小児矯正の種類
小児非抜歯矯正をご希望の保護者様へ
歯並びが悪くなる悪習癖
適切な矯正時期
矯正が必要な歯並び
成人非抜歯矯正について
費用
〒520-2141
滋賀県大津市大江2-12-31
077-544-4020
WEB予約
Clinic
HOME
クリニック紹介
院長紹介
ドクターズインタビュー
当院が選ばれる理由
精度の高い治療のための医療機器
保護者様へ
症例紹介
各種費用/医療費控除
よくあるご質問
新着情報
コラム
サイトマップ
Menu
お悩み
出っ歯
下の歯が出ている(受け口)
らんぐい歯
歯が閉じられない(開咬)
すきっ歯
深い噛み合せ
矯正治療
歯並びが悪くなる悪習癖
非抜歯矯正について
小児矯正について
小児矯正の種類
小児非抜歯矯正をご希望の保護者様へ
適切な矯正時期
矯正が必要な歯並び
成人非抜歯矯正について
症例紹介
HOME
>
症例紹介
>
欠損症例・埋伏歯症例・その他歯の位置異常
>
【矯正症例】左上2番3番逆転症例2
【矯正症例】左上2番3番逆転症例2
2026.01.27
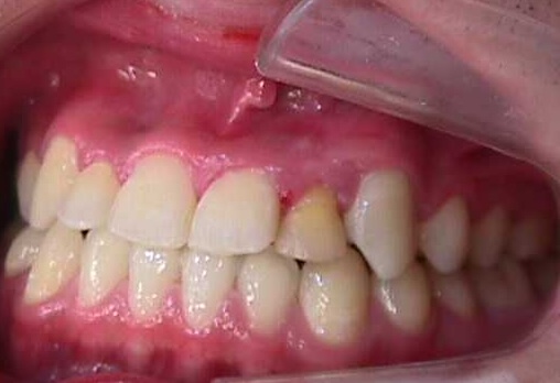
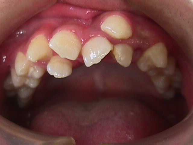
Before
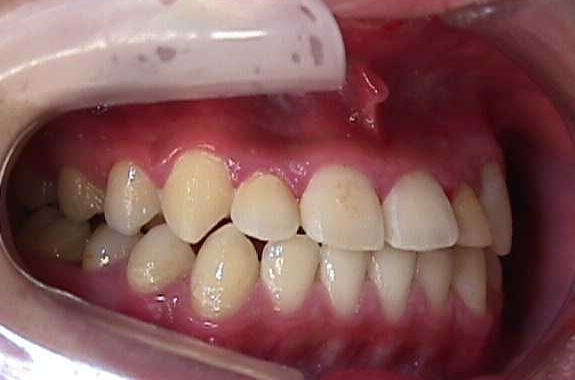
After
症状
左上2番3番逆転症例
院長コメント
随分、前の症例で現在、写真しか残っておりません。
治療費や、治療期間を掲載できないことをご了承ください。
私の矯正歯科医の人生の中でも、特に思い出深い症例です。
【矯正症例】左上2番3番逆転症例1
欠損症例・埋伏歯症例・その他歯の位置異常
【矯正症例】上顎前突1
© つかだ矯正歯科.
all right reserved.
077
-
544
-
4020
WEB予約