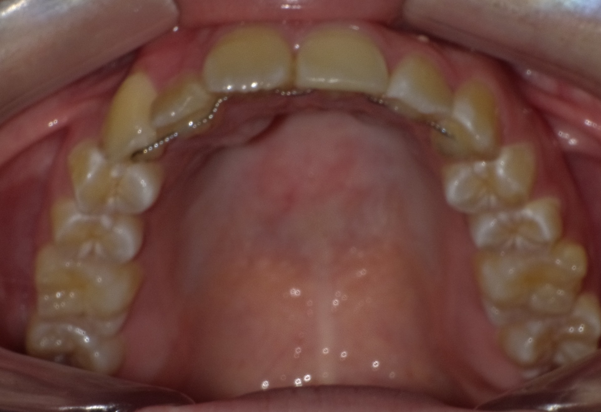
矯正前
矯正後
| 症状 | 左上2番3番逆転症例 |
|---|---|
| 通院時の 年齢 |
10才2ヶ月〜21才2ヶ月 |
| 通院回数 | 142回 |
| 通院目的 | 永久歯を抜かずに歯並びを治したい。 |
| 処置内容 | プレート拡大処置・マルチブラケット装置・クリアアライナー・ディスタライザー |
| 費用 | 基本料金 税抜625,000円 (通院時2,100円〜4,400円の調整料を頂いていました。) ※過去の治療の料金ですので、現在とは異なります。 |
| デメリット・院長コメント | 永久歯を抜かない治療のデメリットは、治療期間が長いことです。 ただし、その後の人生の長さを考えると、健全な小臼歯を2本または4本抜歯の矯正治療よりも、はるかにメリットがあるといえます。 また、アーチが小さくならないので、舌が後ろに押し込まれないためいびき防止につながり睡眠の質の向上にもつながります。 |



















