成人矯正の症例

【矯正症例】成人矯正4

2026.04.03 成人矯正の症例症例紹介

【矯正症例】成人矯正4

症状 右上八重歯 上顎正中の著しいずれ 通院時の年齢 18才6ヶ月〜21才7ヶ月 通院回数 42回 通院目的 永...

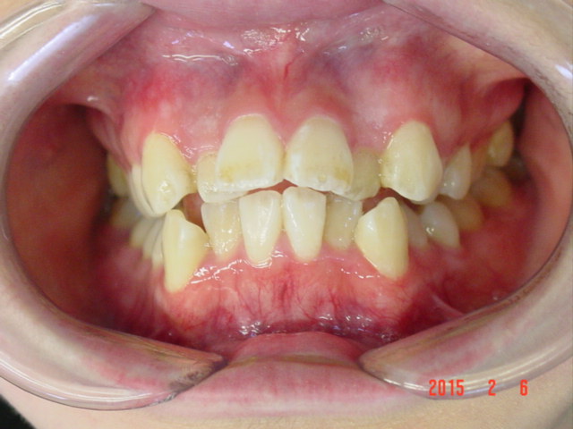
【矯正症例】成人矯正3

2026.03.13 成人矯正の症例症例紹介

【矯正症例】成人矯正3

症状 右上八重歯 上顎正中の著しいずれ 通院時の年齢 18才6ヶ月〜21才7ヶ月 通院回数 42回 通院目的 永...

【矯正症例】成人矯正2

2026.01.27 成人矯正の症例症例紹介

【矯正症例】成人矯正2

症状 右上八重歯 上顎正中の著しいずれ 通院時の年齢 18才6ヶ月〜21才7ヶ月 通院回数 42回 通院目的 永...

【矯正症例】成人矯正1

2025.10.02 成人矯正の症例症例紹介

【矯正症例】成人矯正1

症状 右上八重歯 上顎正中の著しいずれ 通院時の年齢 18才6ヶ月〜21才7ヶ月 通院回数 42回 通院目的 永...

077
-544
-4020

WEB予約