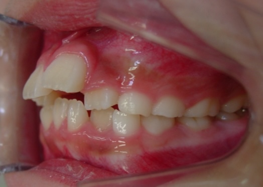
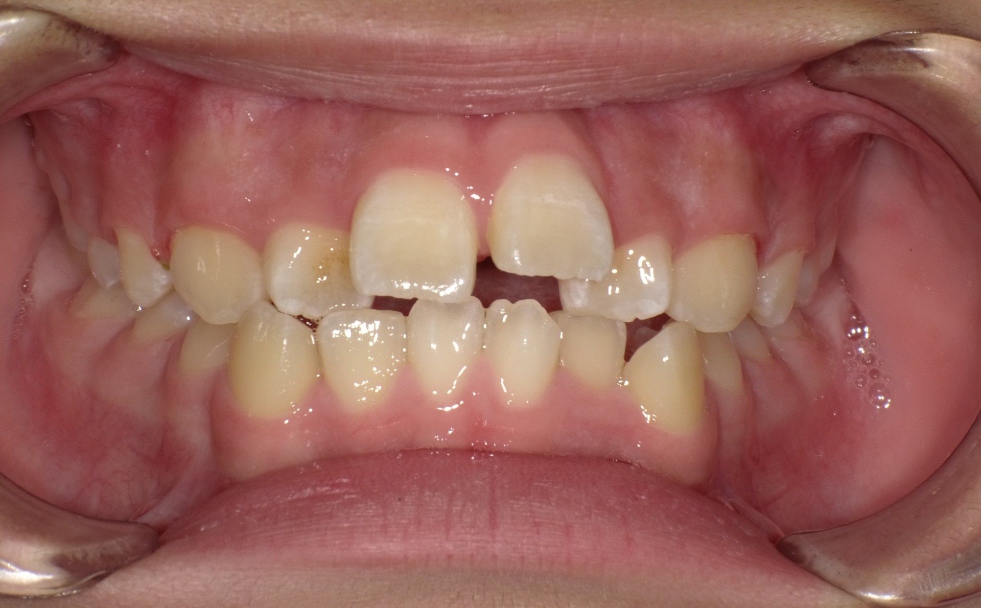
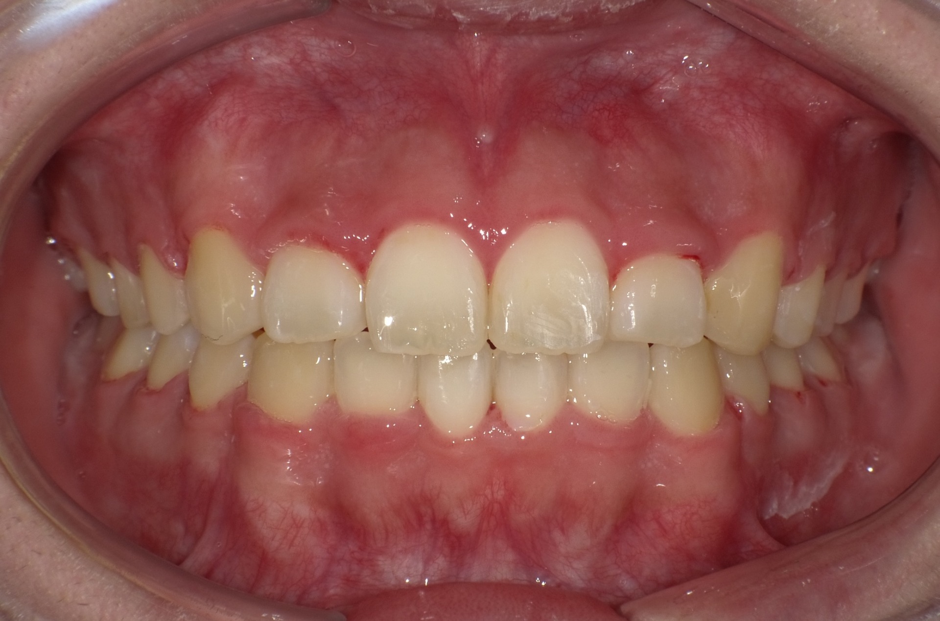
矯正前
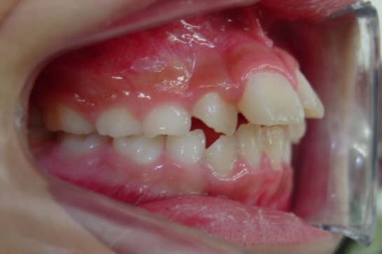
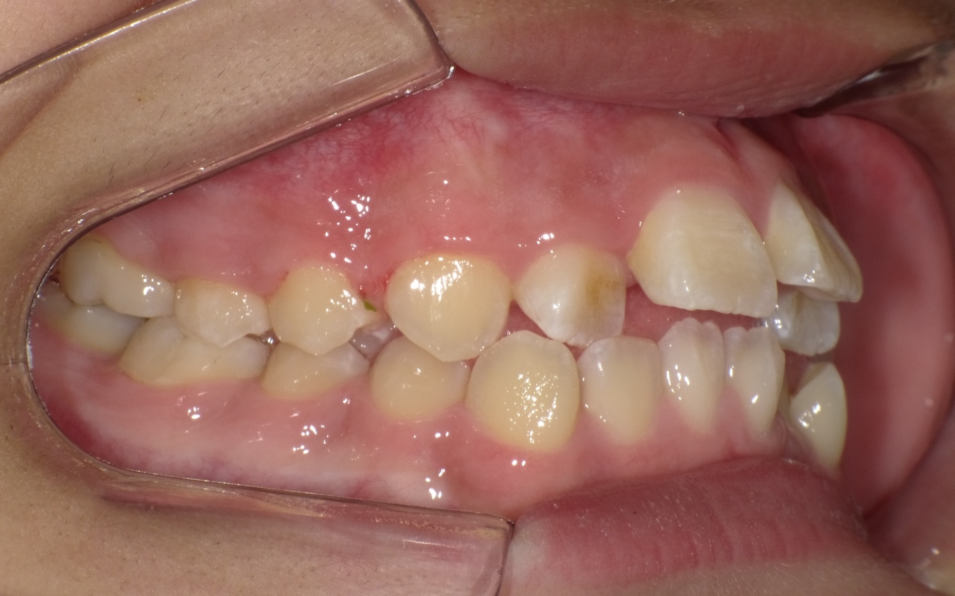
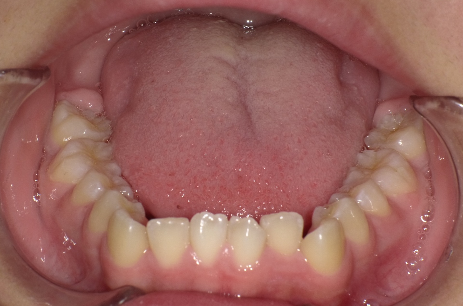
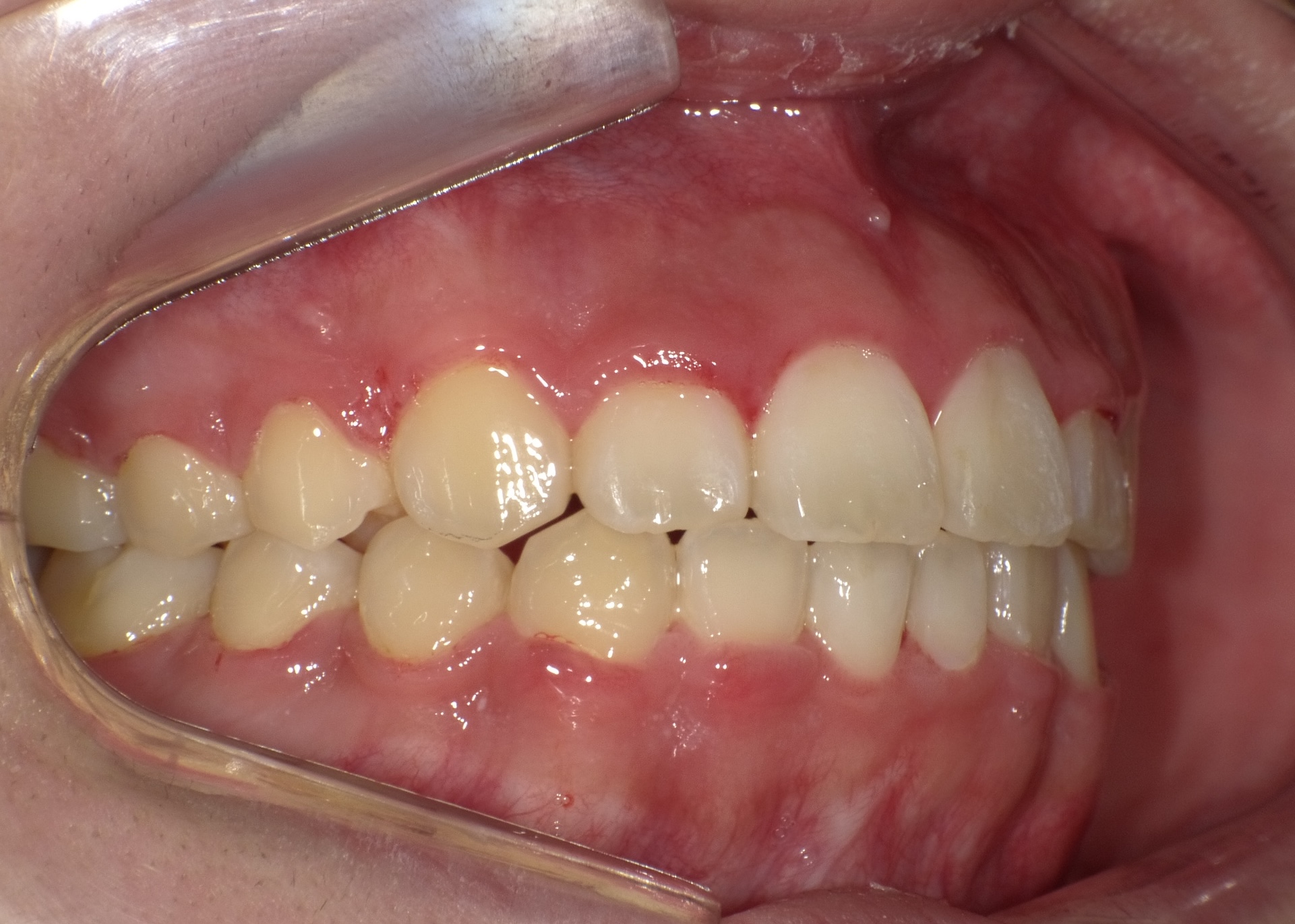
途中経過
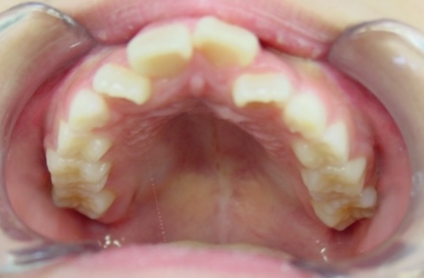
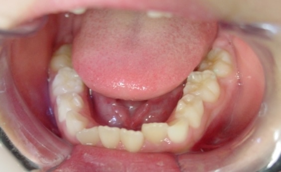
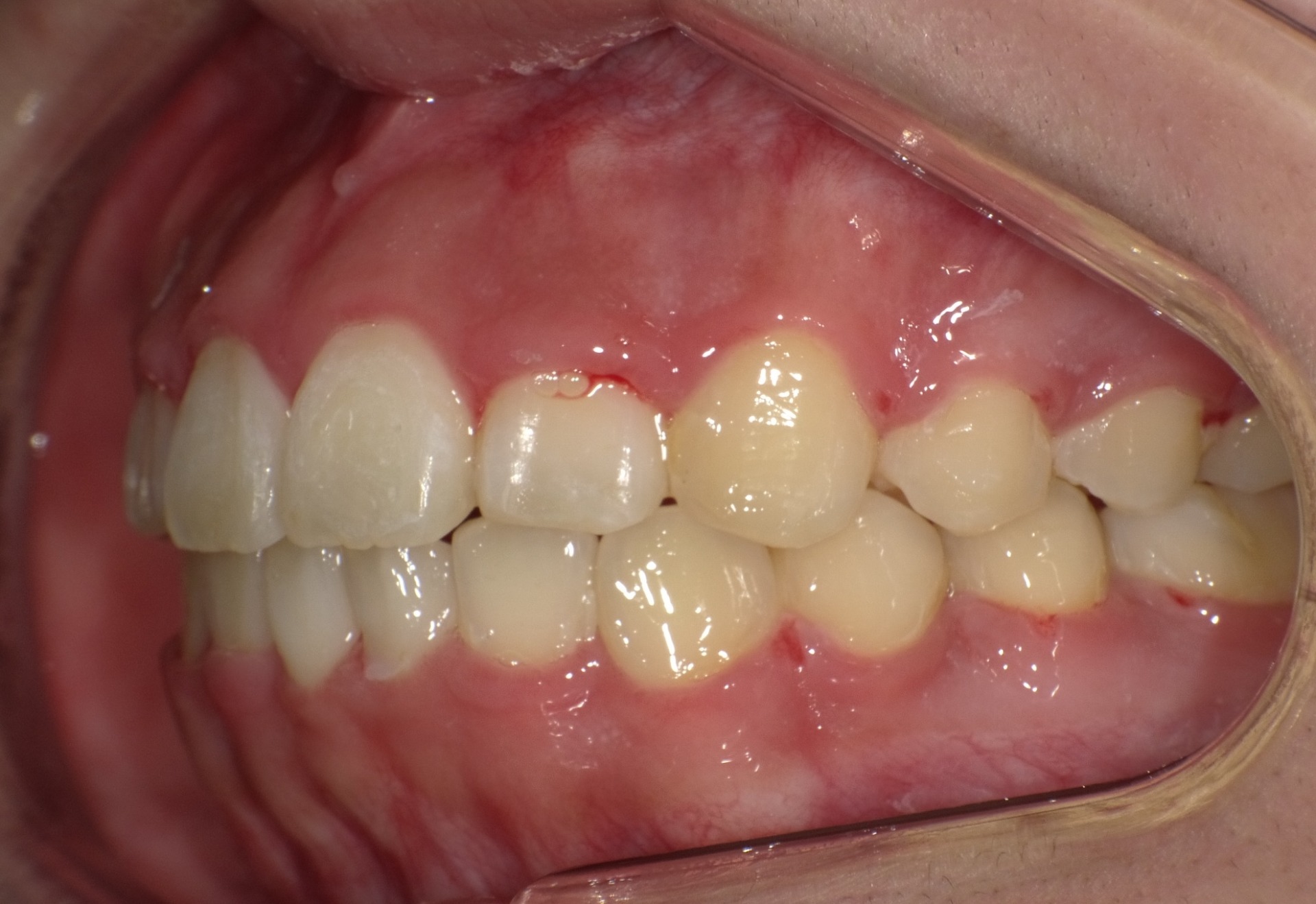
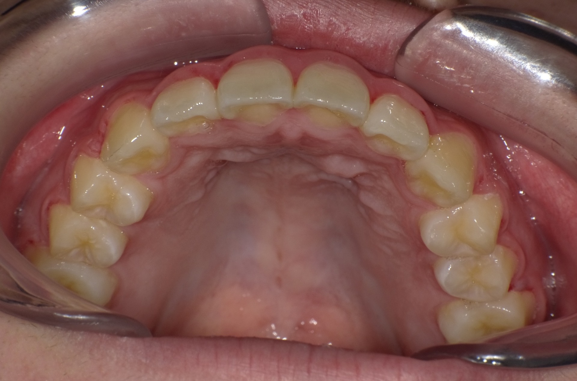
矯正後
| 症状 | 上顎前突 |
|---|---|
| 通院時の 年齢 |
8才2ヶ月〜18才9ヶ月 |
| 通院回数 | 140回 |
| 通院目的 | 永久歯を抜かずに歯並びを治したい。 |
| 処置内容 | バイトブロック・プレート拡大処置・ディスタライザー・インビザライン・オーソテイン・マルチブラケット装置・プリフィニッシャー |
| 費用 | 基本料金926,800円 (通院時2,160円〜4,400円の調整料を頂いていました。) ※過去の治療の料金ですので、現在とは異なります。現在は最高額1,240,000円(およそ治療期間4〜7年分)です。 |
| デメリット・院長コメント | 永久歯を抜かない治療のデメリットは、治療期間が長いことです。 ただし、その後の人生の長さを考えると、健全な小臼歯を2本または4本抜歯の矯正治療よりも、はるかにメリットがあるといえます。 また、アーチが小さくならないので、舌が後ろに押し込まれないためいびき防止につながり睡眠の質の向上にもつながります。 |























